![]() |
|
![]() |
![]() |
![]() |
![]() |
![]() |
![]() |
![]() |
![]() |
![]() |
![]() |
![]() |
![]() |
![]() |
![]() |
![]() |
![]() |
![]() |
![]() |
![]() |
||||||
Caso Nº 1: Paciente de 80 años, con carcinoma prostático diagnosticado hace 4 años, tratado con radioterapia. |
|||||||||||||||||||||||
![]() |
![]() |
||||||||||||||||||||||
Diagnóstico: Cilindros biópsicos de Próstata con lesiones por radioterapia. |
|||||||||||||||||||||||
![]() |
|||||||||||||||||||||||
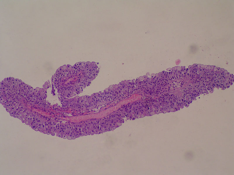
Caso Nº 2: Varón de 26 años con lesión papilar única en vejiga. Sin recidiva por más de 2 años. |
|||||||||||||||||||||||
![]() |
![]() |
![]() |
|||||||||||||||||||||
Diagnóstico: Papiloma Vesical. |
|||||||||||||||||||||||
|